Skip to content Skip to sidebar Skip to footer

Meningeom Op Wann Wieder Arbeiten

Meningeome Neurochirurgie Inselspital Bern

Meningeome Neurochirurgie Inselspital Bern

Meningeom op wann wieder arbeiten. In Form einer Reha beziehungsweise Rehabilitation kann eine Anschlussbehandlung erfolgen. Bei einem Meningeom vom Typ II ist nach der Operation die Gefahr gegeben dass der Tumor nachwächst dann muss erneut operiert werden. Eine medikamentöse Behandlung zum Beispiel mit Hormonen oder Zytostatika Chemotherapie gehört bei Meningeomen nicht zur Standardtherapie.

Es bestanden keine neurologischen Defizite. Vor der OP hieß ist. Welchen Zeitraum der Krankenhausaufenthalt nach einer Hirn OP umfasst hängt von vielen Faktoren ab.

Auch 18 Monate nach der Operation ist der Patient beschwerdefrei ohne neurologische Symptome. Bei unkompliziertem Verlauf und guter Genese können die Patienten nach einer Phase der Erholung nach der Hirn OP die Klinik in etwa 7 bis 10 Tagen wieder verlassen. In der Verlaufskontrolle 3 Monate nach OP berichtete der Patient über Wohlbefinden.

Erfahren Sie in diesem Video wann Sie nach einer Brustoperation wieder arbeiten können- Hier Online Termin vereinbaren. Zusätzlich strahlentherapiert werden müsste. Medikamente gibt es praktisch nicht.

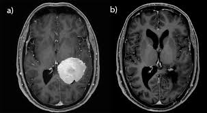
Auch bei grossen Rezidiven nach Therapie wieder aufgetretenes Meningeom und bei Erkrankten mit einem erhöhten Operationsrisiko ist die Radiochirurgie eine Alternative. Httpbitly1gnM67k- Finden Sie m. Wann kann man nach einer Bandscheiben-OP wieder arbeiten.

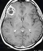
Meningeome ab Grad II aufwärts gehören nach der OP bestrahlt. Die Prognosen bei einem Meningeom hängen vom Schweregrad der Erkrankung ab. Anfang Mai hat es angefangen schlechter zu werden mit Kopfweh und Schwindel Druck auf dem Kopf.

Je bösartiger der Tumor umso größer ist die Wahrscheinlichkeit eines Wiederauftretens Rezidiv des Meningeoms welches dann erneut operiert bzw. Nun es gibt sicherlich auch Fälle die so glücklich ablaufen doch eben auch andere bei denen es etwas mehr Zeit braucht.

Wach Op Beim Hirnturmor Augen Auf Und Durch Berlin Tagesspiegel

Wach Op Beim Hirnturmor Augen Auf Und Durch Berlin Tagesspiegel

Meningeome Manchmal Gar Nicht So Harmlos Gesundheitsstadt Berlin

Meningeome Manchmal Gar Nicht So Harmlos Gesundheitsstadt Berlin

Meningeome Neurochirurgie Inselspital Bern

Meningeome Neurochirurgie Inselspital Bern

Mein Gehirn Hat Licht Gesehen Panorama

Mein Gehirn Hat Licht Gesehen Panorama

Vorstellung Aus Rheinland Pfalz Meningeom Parietal

Vorstellung Aus Rheinland Pfalz Meningeom Parietal

Gehirn Op Wann Ist Sie Notig Und Welche Risiken Birgt Sie Krankenhaus De

Gehirn Op Wann Ist Sie Notig Und Welche Risiken Birgt Sie Krankenhaus De

Meningeome Neurochirurgie Inselspital Bern

Meningeome Neurochirurgie Inselspital Bern

Meningeome

Meningeome

Meningeom Symptome Therapie Prognose Nach Operation Onmeda De

Meningeom Symptome Therapie Prognose Nach Operation Onmeda De

Meningeome

Meningeome

Hirntumor Gehirntumor Diagnose Und Behandlung Ksw

Hirntumor Gehirntumor Diagnose Und Behandlung Ksw

Vorstellung Aus Rheinland Pfalz Meningeom Parietal

Vorstellung Aus Rheinland Pfalz Meningeom Parietal

Universitatsklinikum Des Saarlandes Fallbeispiele

Universitatsklinikum Des Saarlandes Fallbeispiele

Meningeome

Meningeome

Glucklich Wieder Zu Hause Bei Der Kleinen Tochter Klinikum Stuttgart

Glucklich Wieder Zu Hause Bei Der Kleinen Tochter Klinikum Stuttgart

Meningeom Gutartiger Hirntumor Symptome Und Behandlung

Meningeom Gutartiger Hirntumor Symptome Und Behandlung

Klinik Und Poliklinik Fuer Neurochirurgie Meningeome

Klinik Und Poliklinik Fuer Neurochirurgie Meningeome

Meningeom Gutartigen Gehirntumor Entfernen Ndr De Ratgeber Gesundheit

Meningeom Gutartigen Gehirntumor Entfernen Ndr De Ratgeber Gesundheit

Klinik Und Poliklinik Fuer Neurochirurgie Meningeome

Klinik Und Poliklinik Fuer Neurochirurgie Meningeome

Klinik Und Poliklinik Fuer Neurochirurgie Meningeome

Klinik Und Poliklinik Fuer Neurochirurgie Meningeome

Meningeom Neuroonkologisches Zentrum Clemenshospital Munster

Meningeom Neuroonkologisches Zentrum Clemenshospital Munster

Meningeome ǀ Ukd

Meningeome ǀ Ukd

Meningeome

Meningeome

Klinik Und Poliklinik Fuer Neurochirurgie Meningeome

Klinik Und Poliklinik Fuer Neurochirurgie Meningeome

Arbeiten Nach Hirntumor Resektion Erhoht Chance Auf Wiedereinstieg Medical Tribune

Arbeiten Nach Hirntumor Resektion Erhoht Chance Auf Wiedereinstieg Medical Tribune

Klinik Und Poliklinik Fuer Neurochirurgie Meningeome

Klinik Und Poliklinik Fuer Neurochirurgie Meningeome

Hirntumor Symptome Und Lebenserwartung Focus Arztsuche

Hirntumor Symptome Und Lebenserwartung Focus Arztsuche

Meningeome

Meningeome

Psychische Belastung Nach Intensivbehandlung Das Gefuhl Der Verzweiflung Kommt Immer Wieder Der Spiegel

Psychische Belastung Nach Intensivbehandlung Das Gefuhl Der Verzweiflung Kommt Immer Wieder Der Spiegel

Gehirn Op Wann Ist Sie Notig Und Welche Risiken Birgt Sie Krankenhaus De

Gehirn Op Wann Ist Sie Notig Und Welche Risiken Birgt Sie Krankenhaus De

Meningeome ǀ Ukd

Meningeome ǀ Ukd

Hirntumor Gehirntumor Diagnose Und Behandlung Ksw

Hirntumor Gehirntumor Diagnose Und Behandlung Ksw

Hirntumor Gehirntumor Diagnose Und Behandlung Ksw

Hirntumor Gehirntumor Diagnose Und Behandlung Ksw

Klinik Und Poliklinik Fuer Neurochirurgie Meningeome

Klinik Und Poliklinik Fuer Neurochirurgie Meningeome

Orbitachirurgie Und Tumoren Mit Sehnervenkompression Neuroonkologisches Zentrum Clemenshospital Munster

Orbitachirurgie Und Tumoren Mit Sehnervenkompression Neuroonkologisches Zentrum Clemenshospital Munster

Meningeome

Meningeome

Hirntumor Gehirntumor Diagnose Und Behandlung Ksw

Hirntumor Gehirntumor Diagnose Und Behandlung Ksw

Hirntumor Gehirntumor Diagnose Und Behandlung Ksw

Hirntumor Gehirntumor Diagnose Und Behandlung Ksw

Orbitachirurgie Und Tumoren Mit Sehnervenkompression Neuroonkologisches Zentrum Clemenshospital Munster

Orbitachirurgie Und Tumoren Mit Sehnervenkompression Neuroonkologisches Zentrum Clemenshospital Munster

Orbitachirurgie Und Tumoren Mit Sehnervenkompression Neuroonkologisches Zentrum Clemenshospital Munster

Orbitachirurgie Und Tumoren Mit Sehnervenkompression Neuroonkologisches Zentrum Clemenshospital Munster

Meningeom Und Depressive Symptome Vermeintliche Depression Der Spiegel

Meningeom Und Depressive Symptome Vermeintliche Depression Der Spiegel

Wachoperation Neurochirurgie Inselspital Bern

Wachoperation Neurochirurgie Inselspital Bern

Glucklich Wieder Zu Hause Bei Der Kleinen Tochter Klinikum Stuttgart

Glucklich Wieder Zu Hause Bei Der Kleinen Tochter Klinikum Stuttgart

Klinik Und Poliklinik Fuer Neurochirurgie Meningeome

Klinik Und Poliklinik Fuer Neurochirurgie Meningeome

Gehirn Op Wann Ist Sie Notig Und Welche Risiken Birgt Sie Krankenhaus De

Gehirn Op Wann Ist Sie Notig Und Welche Risiken Birgt Sie Krankenhaus De

Gehirn Op Wann Ist Sie Notig Und Welche Risiken Birgt Sie Krankenhaus De

Gehirn Op Wann Ist Sie Notig Und Welche Risiken Birgt Sie Krankenhaus De

Hirntumor Tickende Zeitbombe Pz Pharmazeutische Zeitung

Hirntumor Tickende Zeitbombe Pz Pharmazeutische Zeitung

Meningeom

Meningeom

Meningeom Operation Bestrahlung Prognose

Meningeom Operation Bestrahlung Prognose

Auch 18 Monate nach der Operation ist der Patient beschwerdefrei ohne neurologische Symptome.

Httpbitly1gnM67k- Finden Sie m. Nun es gibt sicherlich auch Fälle die so glücklich ablaufen doch eben auch andere bei denen es etwas mehr Zeit braucht. Zusätzlich strahlentherapiert werden müsste. In Form einer Reha beziehungsweise Rehabilitation kann eine Anschlussbehandlung erfolgen. Erste Operation - ein halbes Jahr Ruhe empfohlen - ein halbes Jahr Wiedereinarbeitung - voll arbeitsfähig Zweite OP 6 Wochen Bestrahlung - ein halbes Jahr Ruhe danach - ein halbes Jahr Wiedereinarbeitung - voll arbeitsfähig allerdings Schwerbehindertenantrag gestellt und dadurch etwas geringere Arbeitszeit. Wichtig nach der Operation ist auch das Einhalten der Nachsorgetermine. Anfang Mai hat es angefangen schlechter zu werden mit Kopfweh und Schwindel Druck auf dem Kopf. Schnellwachsend und raumfordernd. Eine medikamentöse Behandlung zum Beispiel mit Hormonen oder Zytostatika Chemotherapie gehört bei Meningeomen nicht zur Standardtherapie.


Wann kann man nach einer Bandscheiben-OP wieder arbeiten. Erfahren Sie in diesem Video wann Sie nach einer Brustoperation wieder arbeiten können- Hier Online Termin vereinbaren. Vor der OP hieß ist. Die Prognosen bei einem Meningeom hängen vom Schweregrad der Erkrankung ab. Bei einer gängigen Bandscheibenoperation dauert der stationäre Krankenhausaufenthalt meist nur drei bis fünf Tage. Eine medikamentöse Behandlung zum Beispiel mit Hormonen oder Zytostatika Chemotherapie gehört bei Meningeomen nicht zur Standardtherapie. Auch bei grossen Rezidiven nach Therapie wieder aufgetretenes Meningeom und bei Erkrankten mit einem erhöhten Operationsrisiko ist die Radiochirurgie eine Alternative.

Post a Comment for "Meningeom Op Wann Wieder Arbeiten"